پانکراتیت

پانکراتیت

لغت نامه دهخدا

( پانکرآتیت ) پانکرآتیت. [ رِ ] ( فرانسوی، اِ ) ورم لوزالمعده.

دانشنامه عمومی

پانکراتِیت یعنی التهاب لوزالمعده ( پانکراس ). پانکراتِیت یا به صورت حاد بروز می کند یا مزمن.
پانکراتیت حاد بسته به خصوصیات اپیدمیولوژیک مناطق مختلف علل متفاوتی دارد. در کشور آمریکا و تعدادی از کشورهای اروپایی اکثر موارد پانکراتیت حاد به دنبال مصرف الکل است، در ایران اغلب موارد ( ۵۰٪ موارد ) پانکراتیت حاد ناشی از سنگ های صفراوی است. بیشترین شیوع سنی در گروه سنی ۵۰–۴۱ سال است. مرگ و میر پانکراتیت حاد حدود ۱۰٪ است. علائم پانکراتیت حاد عبارتند از درد شکمی شدید، تهوع، استفراغ، تعریق، درد عضلانی، تورم و نفخ شکم، بی حالی، تب، افت فشارخون و حتی شوک.
پانکراتیت مزمن معمولاً در پی حملات مکرر پانکراتیت حاد بروز می کند زیرا لوزالمعده در بین حملات کاملاً بهبود نمی یابد. لوزالمعده در جریان این عارضه، به تدریج توانایی تولید آنزیم های گوارشی و هورمون های ضروری مانند انسولین را از دست می دهد. التهاب پانکراس ناشی از خودهضمی بافت آن توسط آنزیم های پانکراس به ویژه تریپسین می باشد. علایم پانکراتیت ممکن است به صورت دردهای مداوم یا متناوب در ناحیه فوقانی شکم احساس شوند ( علایم با غذاخوردن تشدید می شود و دوره های درد گاه یک هفته طول می کشد ). تهوع، استفراغ، اتساع شکم، زردی ( یرقان )، اسهال چرب و کاهش وزن.
الکلیسم مزمن، بیماری های مجاری صفراوی، سنگ کیسه صفرا، تومورها، ضربه یا جراحی شکم، مصرف بعضی از داروها ( مانند گروه سولفا، کلروتیازید یا داروهای کورتونی )، بعضی از عفونت ها مانند عفونت ویروسی اوریون، هیپرلیپیدمی، هیپرپاراتیروئیدی، واسکولیت، هیپرکلسمی ( میزان بی کار حد کلسیم در خون )، پی آمد عمل ERCP، نارسایی مزمن کلیه و دیالیز.
بجز علائم بالینی، در آزمایشگاه ممکن است افزایش آمیلاز سرم، کاهش کلسیم، لکوسیتوز، پروتئینوری، هیپرگلیسمی، بالا رفتن لیپاز، فسفولیپاز A و تریپسین خون، افزایش LDH و واوره خون را داشته باشیم. آمیلاز سرم معمولاً ولی نه همیشه در پانکراتیت بالاست ( به خصوص در پانکراتیت حاد صفراوی ). ۳–۲ ساعت بعد از شروع پانکراتیت حاد، آمیلاز افزایش یافته و بعد از۱۰–۳ روز به حد نرمال بر می گردد، آمیلاز ادرار و مایع صفاقی ممکن است با میزان و مدت زمان بیشتری بالا باشند.
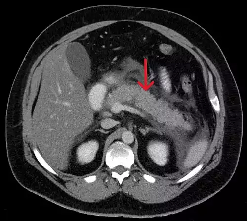
گاهی اسکن رادیوایزوتوپ، رادیوگرافی شکم، سی تی اسکن یا سونوگرافی لوزالمعده و آندوسکوپی مفید می باشد.

جمله سازی با پانکراتیت

جملات نمونه از منابع مختلف جمع آوری شده است، اگر صحیح نیست یا توهین آمیز است، لطفا گزارش دهید.

💡 سطح خونی این آنزیم در آسیب سلول‌های لوزالمعده در بیماری پانکراتیت و سایر بیماری‌های لوزالمعده مانند انسداد مجاری لوزالمعده در خون افزایش می‌یابد؛ بنابراین در موارد وجود علائم مربوط به بیماری‌های لوزالمعده مانند درد شدید شکمی، تب، کاهش اشتها و استفراغ این تست درخواست می‌شود.

💡 نکته: در کودکانی که بعلت پانکراتیت مراجعه می‌کنند، بررسی از نظر

💡 درد در اپی‌گاستر می‌تواند به اندام‌های درونی آسیب‌دیده اشاره کند. این عمدتاً از بخش جلویی گوارش است که ساختارهایی از جمله معده، بخش‌هایی از دوازدهه و مجاری صفراوی دارد. درد ممکن است از پانکراس نیز ارجاع داده شود، مانند پانکراتیت حاد.

💡 مجرای کوچک مجرای سانتورینی را تخلیه می‌کند، از نظر موقعیت برتر نسبت به پاپیلای ماژور. در تفرقه پانکراس، که در آن پاپیلای جزیی قسمت عمده ترشحات پانکراس را تخلیه می‌کند و عمده ترشحات کمی را ترشح می‌کند (برعکس حالت طبیعی)، ممکن است یک سانتورینیزل ایجاد شود که منجر به انسداد ترشحات / ریفلاکس و در نتیجه پانکراتیت شود.

نقض یعنی چه؟
نقض یعنی چه؟
گودوخ یعنی چه؟
گودوخ یعنی چه؟
فال امروز
فال امروز