آدنوم

آدنوم

دانشنامه عمومی

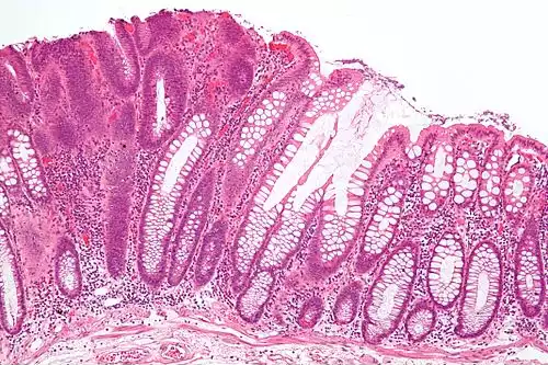
آدنوم. آدنوم یا آدنوما ( به انگلیسی: Adenoma ) به تومور خوش خیم با منشأ بافت غددی گفته می شود. این تومور در غددی مانند هیپوفیز، کولون، کبد، تیروئید، پاراتیروئید، غده فوق کلیوی و… تشکیل می شود. علائم آن اغلب ناشی از فشار بر بافتهای مجاور و ترشح هورمونهای مربوط به بافت منشأ می باشد. مثلاً آدنوم هیپوفیز با فشار بر بافتهای مجاور موجب تاری دید و سردرد شده و با ترشح هورمون رشد منجر به درشت پایانکی ( آکرومگالی ) می شود.
آدنوما اصولاً خوش خیم است ولی ممکن است بافت تومورال بدخیم نیز باشد. به تومور بدخیم با منشأ بافت غددی آدنوکارسینوم می گویند. گاه توده های آدنومی بعد از چند سال به کارسینوم مبدل می شوند مانند سرطان روده بزرگ.

ویکی واژه

(پزشکی): تومور خوش‌خیم سلول‌های پوششی که اغلب ساختار غده مانند دارند.

جمله سازی با آدنوم

برای افتراق آدنوم فولیکولار از کارسینوم فولیکولار تیروئید با تهاجم کم، بررسی‌های دقیق پاتولوژیک لازم است.
تقریباً تمام آدنوم‌های تیروئید، آدنوم فولیکولار هستند. آدنوم فولیکولار می‌تواند به انواع «سرد»، «گرم» یا «داغ» بسته به سطح عملکردش دسته‌بندی شود. از لحاظ بافت شناسی نیز تومورهای فولیکولاز بسته به معماری سلولی و مقادیر کلوئیدی آن به انواع مختلف تقسیم‌بندی می‌شوند.
تفاوت آدنوم تیروئید و گواتر مولتی ندولر در این است که آدنوم تیروئید عموماً منفرد است و نئوپلاسمی است که در نتیجه جهش (یا مشکلات ژنتیکی دیگر) در یک سلول پیش‌ساز اتفاق افتاده است. در عوض گواتر مولتی ندولر در نتیجه پاسخ هایپرپلاستیک غده در برابر یک تحریک مثل کمبود ید اتفاق می‌افتد.
مناطق خونریزی دهنده، فیبروز، کلسیفیکاسیون و تغییرات کیستیک، شبیه به آنچه که در گواتر مولتی ندولر وجود دارد، در آدنوم تیروئید (فولیکولار) شایع هستند، به ویژه در ضایعات بزرگتر.
آدنوم تیروئید می‌تواند از لحاظ بالینی بدون تظاهر باشد، یا ممکن است توموری تولیدکننده هورمون تیروئید باشد. این حالت، ممکن است منجر به تظاهرات پرکاری تیروئید در بیمار شود که در این صورت آدنوم سمی تیروئید نیز نامیده می‌شود.
آدنوما اصولاً خوش‌خیم است ولی ممکن است بافت تومورال بدخیم نیز باشد. به تومور بدخیم با منشأ بافت غددی آدنوکارسینوم می‌گویند. گاه توده‌های آدنومی بعد از چند سال به کارسینوم مبدل می‌شوند مانند سرطان روده بزرگ.
فال گیر
بیا فالت رو بگیرم!!! بزن بریم
عظمت یعنی چه؟
عظمت یعنی چه؟
فاب یعنی چه؟
فاب یعنی چه؟
فال امروز
فال امروز