جوش نخوردگی

جوش نخوردگی

فرهنگستان زبان و ادب

{nonunion} [ارتاپزشکی] وضعیتی آسیب شناختی که در آن استخوان شکسته یا برش خورده جوش نخورده باشد

دانشنامه عمومی

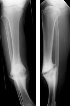
جوش نخوردگی ( به انگلیسی: Nonunion )، عدم التیام دائمی استخوان، پس از شکستگی است، مگر این که مداخله ای ( همچون جراحی ) صورت پذیرد. شکستگی همراه با جوش نخوردن، اغلب موجب شباهت ساختاری با مفصل رشته ای می گردد، و ازین رو به آن اغلب "مفصل کاذب" یا سودو - آرتروزیس ( به انگلیسی: pseudoarthrosis ) ( یا آرتروزیس کاذب ) گفته می شود ( از یونانی pseudo - به معنای کاذب، و arthrosis به معنای مفصل ). تشخیص عموماً هنگامی صورت می پذیرد که بین دو تصویربرداری پزشکی چون اشعه X یا CT اسکن، التیامی صورت نپذیرفته باشد. فاصله این دو تصویربرداری اغلب ۶ - ۸ ماه است.
جوش نخوردگی، عارضه جدی شکستگی بوده و ممکن است در چنین مواردی روی دهد: هنگامی که شکستگی حرکت زیادی داشته باشد، تغذیه خون ناکافی وجود داشته یا محل آسیب دیدگی دچار عفونت شده باشد. بیمارانی که سیگار می کشند، با احتمال بیشتری دچار جوش نخوردگی می گردند.
از آنجا که فرایند التیام استخوان کاملاً متغیر است، جوش نخوردن ممکن است در موارد معدودی، بدون مداخله برطرف شده و ترمیم گردد. در کل، اگر جوش نخوردگی پس از گذر ۶ ماه از جراحت هنوز برقرار باشد، بدون درمان ویژه ارتوپدیک درمان نشده باقی خواهد ماند. جوش نخوردگی که پس از طی مدتی التیام یابد را "جوش نخوردگی تأخیری" می نامند.
با درمان های رایج برای شکستگی استخوان، اکثر آنها بهبود می یابند. اگر هیچ بهبودی وجود نداشته باشد، به آن Nonunion می گویند. جوش نخوردگی زمانی است که جوش خوردن استخوان به تاخیر بیفتد.
جوش نخوردن شکستگی به وضعیتی گفته می شود که در آن دو انتهای استخوان نمی توانند با هم ترکیب شوند و از یکدیگر دور هستند. در برخی از استخوان ها، مانند استخوان های اندام تحتانی که وزن بدن را تحمل می کنند، این عدم اتصال استخوان می تواند باعث ایجاد مشکلاتی شود، در حالی که برخی از استخوان ها مانند استخوان های متاکارپ در کف دست، حتی اگر جوش نخورده باشند، ممکن است مشکل خاصی برای بیمار ایجاد نکند.
علل بسیار متنوعی برای جوش نخوردگی وجود دارد که از شایعترین آنها موارد زیر را میتوان نام برد
• عفونت
• عدم پایدار کردن شکستگی به مقدار کافی
• تکنیک جراحی نامناسب
• سیگار
• داروهای ضد التهابی غیر استروییدی
• محل استخوان شکسته
وضعیت تغذیه
• سن

جمله سازی با جوش نخوردگی

💡 از آنجا که فرایند التیام استخوان کاملاً متغیر است، جوش نخوردن ممکن است در موارد معدودی، بدون مداخله برطرف شده و ترمیم گردد. در کل، اگر جوش نخوردگی پس از گذر ۶ ماه از جراحت هنوز برقرار باشد، بدون درمان ویژه ارتوپدیک درمان نشده باقی خواهد ماند. جوش نخوردگی که پس از طی مدتی التیام یابد را "جوش نخوردگی تأخیری" می نامند.

💡 جوش نخوردگی، عارضه جدی شکستگی بوده و ممکن است در چنین مواردی روی دهد: هنگامی که شکستگی حرکت زیادی داشته باشد، تغذیه خون ناکافی وجود داشته یا محل آسیب دیدگی دچار عفونت شده باشد. بیمارانی که سیگار می کشند، با احتمال بیشتری دچار جوش نخوردگی می گردند.

💡 علل بسیار متنوعی برای جوش نخوردگی وجود دارد که از شایعترین آنها موارد زیر را میتوان نام برد

گوت یعنی چه؟
گوت یعنی چه؟
حلما یعنی چه؟
حلما یعنی چه؟
فال امروز
فال امروز