سینه پهلو

سینه پهلو

لغت نامه دهخدا

سینه پهلو. [ ن َ / ن ِ پ َ ] ( اِ مرکب ) التهاب و عفونت نسج پوششی ریتین ( جنب ها ) را گویند که اگر فقط با تحریک میکربی و بدون ترشح مایع چرکی در دو لایه جنب باشد آنرا سینه پهلوی خشک گویند و اگر بین دو لایه جنب مایع چرکی وسروزیته ترشح شود سینه پهلوی دارای ترشح گویند. ذات الجنب. ( از فرهنگ فارسی معین ). رجوع به ذات الجنب شود.

فرهنگ معین

( ~. پَ ) (اِمر. ) التهاب و عفونت نسج پوششی ریتین (جنب ها ) ذات الجنب.

فرهنگ عمید

= ذات الریه

فرهنگ فارسی

التهاب و عفونت نسج پوششی ریتین ( جنبها ) را گویند که اگر فقط با تحریک میکروبی و بدون ترشح مایع چرکی در دو لایه جنب باشد آنرا سینه پهلوی خشک گویند و اگر بین دو لایه جنب مایع چرکی و سروزیته ترشح شود سینه پهلو را سینه پهلوی دارای ترشح گویند ذات الجنب.
التهاب و عفونت نسج پوششی ریتین را گویند که اگر فقط باتحریک میکربی و بدون ترشح مایع چرکی در دو لای. جنب باشد آنرا سینه پهلوی خشک گویند و اگر بین دو لای. جنب مایع چرکی و سروزیته ترشح شود سینه پهلو را دارای سینه پهلوی دارای ترشح گویند. ذات الجنب.

فرهنگستان زبان و ادب

{pneumonia} [پزشکی] التهاب ریه ها همراه با تراکم

دانشنامه عمومی

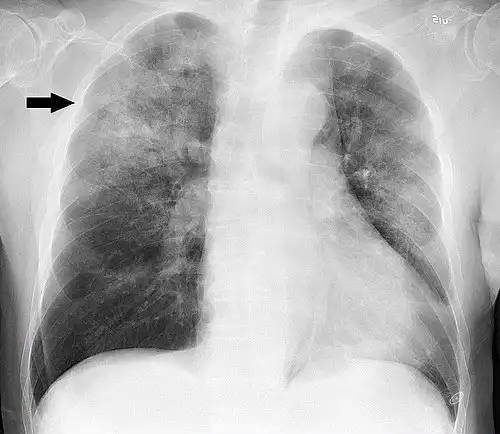
سینه پهلو یا پنومونی ( به فرانسوی: Pneumonie )، یک بیماری التهابی ریه است که عمدتاً کیسه های هوایی ( آلوئول ) تحت تأثیر قرار می دهد علائم معمولاً شامل ترکیبی از سرفه های مولد یا خشک، درد قفسه سینه، تب و تنگی نفس می شود. شدت بیماری متغیر است.
سینه پهلو معمولاً در اثر عفونت با ویروس ها یا باکتری ها و کمتر توسط سایر میکروب ها ایجاد می شود. شناسایی بیماری زا مسئول ممکن است دشوار باشد. تشخیص اغلب بر اساس علائم و معاینه فیزیکی است. رادیوگرافی قفسه سینه، آزمایش خون و کشت خلط ممکن است به تأیید تشخیص کمک کند. این بیماری ممکن است بر اساس محل کسب آن طبقه بندی شود، مانند سینه پهلو اکتسابی در جامعه یا بیمارستان یا مرتبط با مراقبت های بهداشتی.
عوامل خطر برای سینه پهلو شامل فیبروز کیستیک، بیماری مزمن انسدادی ریه ( COPD )، بیماری سلول داسی شکل، آسم، دیابت، نارسایی قلبی، سابقه سیگار کشیدن، توانایی ضعیف برای سرفه ( مانند سکته مغزی ) و سیستم ایمنی ضعیف است.
واکسن هایی برای پیشگیری از انواع خاصی از سینه پهلو ( مانند واکسن هایی که توسط باکتری استرپتوکوک پنومونیه ایجاد می شوند، مرتبط با آنفولانزا، یا مرتبط با COVID - 19 ) در دسترس هستند. روش های دیگر پیشگیری شامل شستن دست ها برای جلوگیری از عفونت و عدم استعمال دخانیات است.
درمان بستگی به علت زمینه ای دارد. سینه پهلو که اعتقاد بر این است که ناشی از باکتری است با آنتی بیوتیک درمان می شود. اگر سینه پهلو شدید باشد، فرد مبتلا به طور کلی در بیمارستان بستری می شود. در صورت پایین بودن سطح اکسیژن ممکن است از اکسیژن درمانی استفاده شود.
هر سال، سینه پهلو حدود ۴۵۰ میلیون نفر در سراسر جهان ( ۷٪ از جمعیت ) را تحت تأثیر قرار می دهد و منجر به مرگ حدود ۴ میلیون نفر می شود. با معرفی آنتی بیوتیک ها و واکسن ها در قرن بیستم، بقا بسیار بهبود یافته است. با این وجود، سینه پهلو یکی از علل اصلی مرگ و میر در کشورهای در حال توسعه و همچنین در میان افراد بسیار مسن، بسیار جوان و بیماران مزمن باقی مانده است. ذات الریه اغلب دوره رنج را در میان کسانی که نزدیک به مرگ هستند کوتاه می کند و بنابراین به آن «دوست پیرمرد» می گویند. نام این بیماری برگرفته از πνευμονία کلمه ای یونانی به معنای مرض ریوی یا بیماری ششی است.

ویکی واژه

التهاب و عفونت نسج پوششی ریتین (جنب‌ها)
polmonite
ذات الجنب.

جمله سازی با سینه پهلو

جملات نمونه از منابع مختلف جمع آوری شده است، اگر صحیح نیست یا توهین آمیز است، لطفا گزارش دهید.

💡 چو پرتو به دل، یاد آن رو زند به مینو، مرا سینه پهلو زند

💡 فرامرز یل آب داده سنان بزد در بر و سینه پهلوان

💡 آب آناناس ممکن است به درمان سرفه پایدار، زمانی که دلیل این شرایط یک بیماری جدی مانند سینه پهلو نیست، کمک کند. برای مقابله با سرفه خفیف استفاده از آب آناناس ممکن است ایده خوبی باشد.

💡 کوواچیچ در ۶ ژوئن ۱۸۵۴ متولد و در ۱۰ مارس ۱۸۸۹ بر اثر بیماری سینه پهلو در زاگرب درگذشت.

اونلی فنز یعنی چه؟
اونلی فنز یعنی چه؟
حلما یعنی چه؟
حلما یعنی چه؟
فال امروز
فال امروز