تالاموس

تالاموس

فرهنگ معین

[ فر. ] (اِ. ) هر یک از دو تودة خاکستری که در طرفین بطن سوم مغز قرار دارد و بخشی از دیوارة جانبی حفرة بطن سوم را تشکیل می دهد، نَهَنج. (فره ).

دانشنامه عمومی

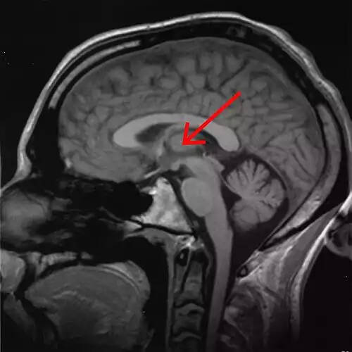
تالاموس ( thalamus ) یا نهنج در مغز و محل تقویت و پردازش اطلاعات است.
الیاف اعصاب حس پنج گانه بدن انسان به جز حس بویایی برای تقویت وارد تالاموس شده و سپس از تالاموس خارج و وارد قشر مخ برای پردازش می شود. تقویت نشدن حس بویایی انسان توسط تالاموس از دلایل اصلی ضعیف بودن این حس در انسان نسبت به دیگر حیوانات مانند سگ می باشد. همچنین تالاموس مسئول تطبیق تصویرها با عواطف می باشد. تحریک هسته های میانی، پسین و پیشین تالاموس به دگرگونی در پاسخ های احساسی می انجامد؛ ولی اهمیت این هسته ها در تنظیم رفتارهای احساسی به واسطه خود تالاموس نیست بلکه به چرایی ارتباط این هسته ها با دیگر سازه های دستگاه کناره ای می باشد.
اجزای تالاموس:هستهٔ شکمی قدامی ( ventral anterior )، هستهٔ شکمی جانبی ( ventro - lateral nucleus )، هستهٔ شکمی خلفی جانبی ( ventro - postero - lateral )، هستهٔ شکمی خلفی میانی ( ventro - postero - median ) که در داخل هستهٔ شکمی خلفی جانبی قرار دارد و هستهٔ پولوینار ( Pulvinar ) که خلفی ترین هستهٔ تالاموس است.

دانشنامه آزاد فارسی

تالاموس (thalamus)
هر یک از دو تودۀ بیضوی از مادۀ خاکستری، واقع در نیمکره های مخ. این بخش مرکز هماهنگ کنندۀ اطلاعات حسی در مسیر حرکت پیام ها به قشر مخ است و در تنظیم حرکات نیز نقش مهمی دارد.

ویکی واژه

(فره)
هر یک از دو تودة خاکستری که در طرفین بطن سوم مغز قرار دارد و بخشی از دیوارة جانبی حفرة بطن سوم را تشکیل می‌دهد، نَهَن

تالاموس

جمله سازی با تالاموس

جملات نمونه از منابع مختلف جمع آوری شده است، اگر صحیح نیست یا توهین آمیز است، لطفا گزارش دهید.

💡 مخ شامل بطن‌ها است که مایع مغزی-نخاعی در آن مکان‌ها تولید شده و به گردش در می‌آید. در زیر جسم پینه‌ای، دیوارهٔ شفاف[ظ] قرار دارد که غشای جداکنندهٔ بطن‌های طرفی می‌باشد. در زیر بطن‌های طرفی، تالاموس و در جلو و پایین آن نیز هیپوتالاموس قرار دارد. هیپوتالاموس به جلو کشیده شده و غده هیپوفیز را شکل می‌دهد. عقبِ تالاموس، ساقهٔ مغز واقع شده‌است.

💡 در مغز انسان تنها ۱۰٬۰۰۰ تا ۲۰٬۰۰۰ یاخته عصبی تولیدکنندهٔ آرکسین وجود دارد که بیشتر در نواحی اطراف مثلث مغزی و هیپوتالاموس جانبی واقع شده‌اند. شاخه‌های این یاخته‌های به نواحی دیگر گسترده شده و در تنظیم بیداری، اشتها و سایر رفتارها نقش دارند. در انسان دو نوع پپتید آرکسین، و دو نوع گیرنده آرکسین وجود دارد.

💡 آرکسین در سال ۱۹۹۸ توسط دو گروه مستقل دانشمندان که بر روی مغز موش آزمایشگاهی مطالعه می‌کردند، به‌طور همزمان کشف شد. یک گروه آنرا آرکسین (مشتق از واژهٔ لاتین اورکسوس به معنای اشتها) نامیدند و گروه دیگر، آنرا هایپوکرتین نام نهادند؛ چرا که در هیپوتالاموس تولید شده و شباهت اندکی به پپتید سکرتین دارد.

دماغه یعنی چه؟
دماغه یعنی چه؟
ارغوان یعنی چه؟
ارغوان یعنی چه؟
فال امروز
فال امروز