سرطان خون

سرطان خون

دانشنامه عمومی

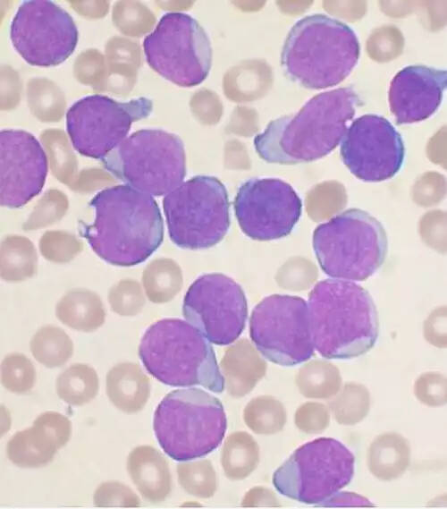
سرطان خون یا چنگار خون یا لوسمی ( به فرانسوی: Leucémie ) گروهی از انواع سرطان است که معمولاً از مغز استخوان شروع می شود و باعث شکل گیری تعداد زیادی گلبول سفید غیرطبیعی می گردد. این گلبول های سفید خونی به صورت کامل تشکیل نشده اند و به آن ها بلاست یا سلول های لوکمی یا سرطان خون گفته می شود. نشانه های این بیماری شامل مشکلات خون ریزی و کبودشدگی، احساس خستگی شدید، تب و خطر افزایش عفونت می شود. این نشانه ها به دلیل نبودِ سلول های خونی طبیعی ایجاد می شوند. تشخیص این بیماری با استفاده از آزمایش خون و بیوپسی مغز استخوان صورت می گیرد.
در حالی که عامل اصلی و واقعی بیماری سرطان خون ناشناخته است؛ اما دانشمندان و پزشکان سرطان و انکولوژی بر این باورند که ترکیبی از عوامل ژنتیکی و محیطی در این بیماری نقش دارند. عوامل خطر شامل مواردی همچون سیگار کشیدن، پرتوهای یونیزان، برخی مواد شیمیایی ( از قبیل بنزن )، سابقهٔ شیمی درمانی و نشانگان داون می شود. افرادی که در خانوادهٔ خود سابقهٔ بیماری سرطان خون را داشته اند، بیشتر در خطر ابتلا به سرطان خون قرار دارند.
استفاده از حشره کش های خانگی احتمال ابتلای کودکان به سرطان خون را ۴۷ درصد و لنفوم را ۴۳ درصد افزایش می دهند. مطالعات محققان مدرسهٔ بهداشت عمومی بوستون آمریکا نشان می دهد که تأثیر مخرب آفت کش ها بر بدن کودکان بیشتر از بزرگسالان است؛ زیرا دستگاه ایمنی کودکان هنوز به طور کامل رشد نکرده است و نمی تواند سم زدایی کند.
از نظر سرعت رشد و پیشرفت آن، سرطان خون به لوسمی حاد ( رشد سریع ) یا مزمن ( رشد کند ) طبقه بندی می شود. سرطان خون حاد به سرعت در حال پیشرفت است و منجر به تجمع سلول های خونی نابالغ و بدون عملکرد در مغز استخوان می شود. با این نوع سرطان خون، سلول ها در مغز استخوان تولید شده و تجمع می یابند و باعث کاهش توانایی مغز در تولید سلول های خونی سالم به اندازهٔ کافی می شوند. سرطان خون مزمن با سرعت کمتری پیشرفت می کند و منجر به تجمع گلبول های سفید خون نسبتاً بالغ، اما همچنان غیرطبیعی می شود.
چهار نوع اصلی سرطان خون: لوسمی حاد لنفوئیدی ( ALL )، لوسمی حاد میلوئیدی ( AML )، لوسمی مزمن لنفوئیدی ( CLL ) و لوسمی مزمن میلوئیدی ( CML ). همچنین انواع دیگری هم هستند که رواج کمتری دارند. سرطان خون بخشی از یک گروه وسیع تر به نام نئوپلاسم است که شامل خون، مغز استخوان و سیستم لنفوئیدی می شود که به تومورهای بافت های خون ساز و لنفوئیدی معروف هستند.

ویکی واژه

glicemia
leucemia

جمله سازی با سرطان خون

جملات نمونه از منابع مختلف جمع آوری شده است، اگر صحیح نیست یا توهین آمیز است، لطفا گزارش دهید.

💡 به‌طور کلی لکوسیتوز در موارد زیر دیده می‌شود: بیماری‌های عفونی، بیماری‌های التهابی (مثل آرتریت روماتوئید و آلرژی)، برخی نئوپلازی‌ها مانند لوسمی یا سرطان خون، استرس شدید روحی یا فیزیکی و آسیب بافتی (سوختگی شدید). این موارد اغلب با حضور گلبول‌های سفید نابالغ (شیفت به چپ) همراهند.

💡 احمدرضا در امور اقتصادی، سیاسی و اجتماعی دخالتی نمی‌کرد و کمتر در دربار حاضر می‌شد ولی پس از انقلاب اسلامی ۱۳۵۷ ه‍.ش او نیز به اتفاق خانواده‌اش ایران را ترک کرد و در فرانسه به علت سرطان خون درگذشت.

💡 افراد دچار کمبود ایمنی مانند بیمارانی که تحت پیوند سلول‌های بنیادی خون‌ساز، شیمی‌درمانی برای درمان سرطان خون یا ایدز قرار می‌گیرند، در معرض خطر بیشتری برای تهاجم آسپرژیلوس‌ها هستند. این افراد ممکن است در نتیجهٔ درمان‌های پزشکی دچار نوتروپنی یا سرکوب سیستم ایمنی شده باشند.

💡 ساتا فلورس در ۲۲ اکتبر ۱۹۸۵ در سن ۴۸ سالگی در پی عوارض ناشی از درمان سرطان خون در رم درگذشت.

💡 پس از بیماری طولانی مدت، سگار در اکتبر سال ۱۹۳۸ در سن ۴۳ سالگی بر اثر سرطان خون و بیماری کبد درگذشت.

💡 همچنین دریافت میزان کافی فولیک اسید (فولات) می‌تواند تا حدود شانس ابتلا به سرطان خون را کاهش دهد.

استتار یعنی چه؟
استتار یعنی چه؟
عفیف یعنی چه؟
عفیف یعنی چه؟
فال امروز
فال امروز