اب جنبی

اب جنبی

فرهنگستان زبان و ادب

آب جنبی
{hydrothorax} [پزشکی] تراکم نابهنجار مایع آبگون (serous fluid ) در حفرۀ جنب

دانشنامه عمومی

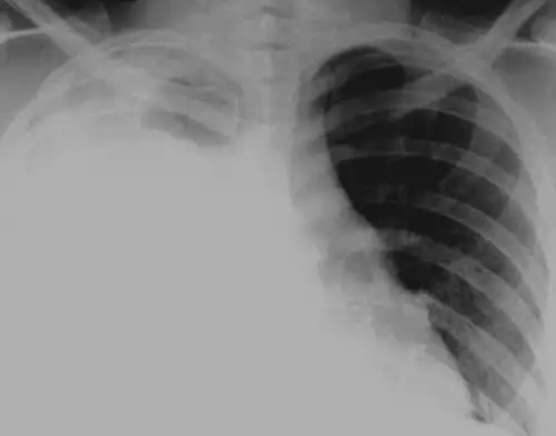
آب جنبی. آبجنبی* یا هیدروتوراکس ( به انگلیسی: Hydrothorax ) * تراکم نابهنجار مایع آبگون ( serous fluid ) در حفرۀ جنب است. این وضعیت اغلب ثانویه به نارسایی احتقانی قلب، به دنبال افزایش فشار هیدرواستاتیک درون ریه ها است. به ندرت، هیدروتوراکس می تواند در بیماران مبتلا به سیروز یا آسیت ایجاد شود. هیدرواتورکس کبدی، در مراحل پیشرفته و نهایی بیماری اغلب به درمان پاسخ نمی دهد. اگر مایع داخل حفره جنب چرکی باشد آن را پیوتوراکس، اگر خونی باشد هموتوراکس و اگر لنف باشد کیلوتوراکس می نامند.
اگرچه مکانیسم های دقیق درگیر در ایجاد هیدروتوراکس کبدی به طور کامل شناخته نشده است، اما احتمالاً از عبور آسیت از حفره صفاقی به حفره پلور از طریق نقص های کوچک دیافراگم ناشی می شود. این عیوب معمولاً کمتر از 1 سانتی متر هستند ( و ممکن است میکروسکوپی باشند ) و عموماً در قسمت تاندونی دیافراگم قرار دارند. هیدروتوراکس کبدی زمانی آشکار می شود که ظرفیت جذب فضای پلور بیشتر شود. مکانیسم های پاتولوژیک پشت تشکیل آسیت به تفصیل در جای دیگری مورد بحث قرار گرفته است

جمله سازی با اب جنبی

جملات نمونه از منابع مختلف جمع آوری شده است، اگر صحیح نیست یا توهین آمیز است، لطفا گزارش دهید.

💡 انجمن کارگردانان فرانسه قصد دارد با اعطای جایزه کالسکه طلایی، از مارتین اسکورسیزی کارگردان آمریکایی تقدیر کند. این جایزه ۹ مه در مراسم افتتاحیه این دوره بخش جنبی دو هفته کارگردانان فیلم کن به اسکورسیزی اعطا می‌شود.

💡 تا به خود جنبی نشانها بی‌نشانی ‌گشته ست ای بسا رنگی‌که در یک پر زدن از بو گذشت

💡 تا به خود جنبی سپر افکندهٔ خاکی و بس گو بیاویزد غرور از آسمان شمشیر را

💡 مجوی اوحدی را تو ز من کندر آن ساعت که من بار می‌بستم، به جنبی دگر بود او

💡 این املهایی که احرام امیدش بسته‌ای تا به خود جنبی نگاه واپسین‌گردیده است

💡 نایژه‌آوایی هنگام سمع ریه‌ها با گوشی وقتی فرد معاینه‌شونده سخن بگوید، شنیده می‌شود و علت آن انتقال صوت تولید شده در حنجره از بافت متراکم ریه یا از روی قشر نازک مایع جنبی به جدار قفسه سینه است.

بنده پروری یعنی چه؟
بنده پروری یعنی چه؟
گیتی یعنی چه؟
گیتی یعنی چه؟
فال امروز
فال امروز