غول یاخته

غول یاخته

فرهنگستان زبان و ادب

{giant cell} [علوم پایۀ پزشکی] یاخته ای بزرگ که عموماً بیشتر از یک هسته دارد

دانشنامه عمومی

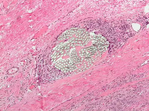
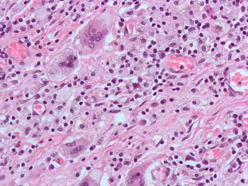
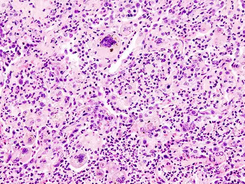
غول یاخته ( به انگلیسی: Giant Cell ) توده ای است که از یگانگی چند یاخته متمایز تشکیل شده باشد. این توده که بیشتر درشت خوارها آن را تشکیل می دهند، می تواند در پاسخ به یک عفونت مانند سل، ایدز، تبخال یا یک پیکره بیرونی باشد.
غول یاخته هایی که چندهسته ای هستند ( اختصاری  MGC ) از چسبیدن خطی مونوسیت ها و درشت خوارها ( ماکروفاژها ) حاصل می گردند.
نورویش بدخیم یاخته های پوششی را که از غول یاخته ها تشکیل شده است، پوش چنگار غول یاخته ای ( giant cell carcinoma ) می گویند.
• غول یاخته پیکره بیرونی
• آرتریت غول یاخته ای
• غول یاخته لانگهان
• غول یاخته توتون

غول یاخته
غول یاخته
نماز یعنی چه؟
نماز یعنی چه؟
محتمل یعنی چه؟
محتمل یعنی چه؟
فال امروز
فال امروز