نوروم

نوروم

لغت نامه دهخدا

نوروم. [ ن ِ رُم ْ ] ( فرانسوی، اِ ) ( اصطلاح پزشکی ) تومور و غده دردناکی که نسج عصبی را فرامیگیرد. تومور عصبی. ثآلیل عصبی. ( فرهنگ فارسی معین ).

دانشنامه عمومی

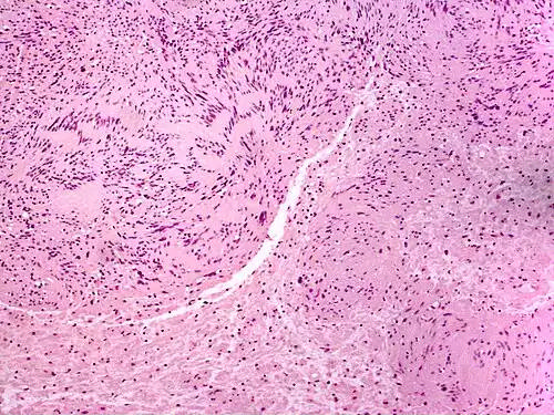
نوروم ( انگلیسی: Neuroma ) یا تومور عصبی، تومور و غدهٔ دردناکی است که بافت عصبی را فرامی گیرد. نوروم به توموری گفته می شود که از عصب منشأ گرفته یا عمدتاً از یاخته های عصبی و تارهای عصبی تشکیل شده است. نوروم نوعی بزرگ شدن پیازی شکل روی یک عصب متشکل از کلاف در هم پیچیده رشته های متداخل است.
نوروم یک رشد غیرطبیعی بافت عصبی ولی معمولاً رشد خوش خیم است، اما با ضخیم شدن بافت عصبی اغلب باعث درد شدید عصبی می شود.

جمله سازی با نوروم

جملات نمونه از منابع مختلف جمع آوری شده است، اگر صحیح نیست یا توهین آمیز است، لطفا گزارش دهید.

💡 تومورهایی ممکن است در زاویه مخچه–پل مغزی ایجاد شوند. چهار تومور از هر پنج مورد از این تومورها، معمولاً نوروم آکوستیک هستند.

گارش یعنی چه؟
گارش یعنی چه؟
وادی یعنی چه؟
وادی یعنی چه؟
فال امروز
فال امروز