آنسفالیت

آنسفالیت

دانشنامه عمومی

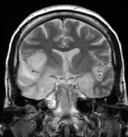
التهاب مغز یا انسفالیت ( به انگلیسی: Encephalitis ) به معنی التهاب حاد بافت مغزی است. شدت آن می تواند با علائمی از جمله کاهش یا تغییر در هوشیاری، سردرد، تب، گیجی، سفت شدن گردن و استفراغ متغیر باشد. عوارض ممکن است شامل تشنج، توهم، مشکل در صحبت کردن، مشکلات حافظه و مشکلات شنوایی باشد. علل آنسفالیت شامل ویروس هایی مانند ویروس هرپس سیمپلکس و ویروس هاری و همچنین باکتری ها، قارچ ها یا انگل ها است. علل دیگر عبارتند از بیماری های خود ایمنی و تأثیر برخی داروها. در بسیاری از موارد علت ناشناخته باقی مانده. عوامل خطر شامل دستگاه ایمنی ضعیف می باشد. تشخیص معمولاً بر اساس علائم است و با آزمایش خون، تصویربرداری پزشکی و تجزیه و تحلیل مایع مغزی نخاعی پشتیبانی می شود. انواع خاصی از آن با واکسن ها قابل پیشگیری هستند. درمان ممکن است شامل داروهای ضد ویروسی ( مانند آسیکلوویر )، داروهای ضد تشنج و کورتیکواستروئیدها باشد. درمان به طور کلی در بیمارستان انجام می شود. برخی افراد نیاز به تنفس مصنوعی خواهند داشت. پس از اینکه مشکل فوری فرد مورد کنترل قرار گرفت، ممکن است نیاز به توانبخشی باشد. در سال ۲۰۱۵ میلادی تخمین زده شد که آنسفالیت ۴٫۳ میلیون نفر را تحت تأثیر قرار داده و منجر به مرگ ۱۵۰۰۰۰ نفر در سراسر جهان شده است.
شایع ترین نوع آن انسفالیت ویروسی می باشد. ویروس خود را از طریق خون به مغز می رساند و در عملکرد آن اختلال ایجاد می کند در بیماریهای سیفلیس، هاری و مالاریا نیز احتمال آنسفالیت وجود دارد. انسفالیت چون از بیماری های ثانویه ویروسی می باشد می تواند رده های مختلفی داشته باشد و از عدم تعادل در راه رفتن تا کما و مرگ را در پی خواهد داشت. برای مثال در نوزادان ویروس هرپس سیمپلکس باعث ایجاد تبخال می گردد یا ویروسی که در آبله مرغان به مغز می رسد می تواند فقط کمی عدم تعادل در راه رفتن را در پی داشته باشد.
در بزرگسالان مبتلا به آنسفالیت با شروع حاد آن تب، سردرد، گیجی و گاهی تشنج دیده می شود. کودکان کوچکتر یا نوزادان دچار زودرنجی، کم یا بی اشتهایی و تب می شوند. معاینات عصبی معمولاً یک فرد خواب آلود یا گیج را نشان می دهد. سفتی گردن به دلیل تحریک مننژهای پوشاننده مغز، نشان دهنده این است که بیمار یا مننژیت یا مننژوانسفالیت دارد.

ویکی واژه

(پزشکی): التهاب و آماس مغز که ممکن است ناشی از عفونت ویروسی یا باکتریایی، و مانند آنها باشد؛ روم‌مغزی.

جمله سازی با آنسفالیت

جملات نمونه از منابع مختلف جمع آوری شده است، اگر صحیح نیست یا توهین آمیز است، لطفا گزارش دهید.

💡 تأثیر مصرف داروهای ضد تشنج در بهبود عوارض ناشی از تشنج در افراد مبتلا به آنسفالیت ویروسی ثابت نشده است.

💡 مغز، اگرچه توسط سد خونی - مغزی محافظت می‌شود، اما می‌تواند تحت تأثیر عفونت‌هایی از جمله ویروس‌ها، باکتری‌ها و قارچ‌ها قرار گیرد. عفونت ممکن است شامگان (مننژیت)، ماده مغز (آنسفالیت)، یا در داخل ماده مغز (مانند آبسه مغزی) باشد. بیماری‌های نادر پریون از جمله بیماری کروتزفلد -یاکوب و سویه آن، و کورو نیز ممکن است بر مغز تأثیر بگذارد.

💡 کلید زنده ماندن از آنسفالیت، تشخیص زودهنگام و درمان مؤثر علت زمینه ای است. تیمی از متخصصان که با هم کار می‌کنند یک عامل مهم در مراقبت بهینه است.

💡 در بزرگسالان مبتلا به آنسفالیت با شروع حاد آن تب، سردرد، گیجی و گاهی تشنج دیده می‌شود. کودکان کوچکتر یا نوزادان دچار زودرنجی، کم یا بی‌اشتهایی و تب می‌شوند. معاینات عصبی معمولاً یک فرد خواب آلود یا گیج را نشان می‌دهد. سفتی گردن به دلیل تحریک مننژهای پوشاننده مغز، نشان دهنده این است که بیمار یا مننژیت یا مننژوانسفالیت دارد.

متمایز یعنی چه؟
متمایز یعنی چه؟
التماس یعنی چه؟
التماس یعنی چه؟
فال امروز
فال امروز