کرمک

کرمک

لغت نامه دهخدا

کرمک. [ ک ِ م َ ] ( اِ مصغر ) تصغیر کرم. ( برهان ) ( آنندراج ). کرم کوچک. ( ناظم الاطباء ). کرم خرد. ( یادداشت مؤلف ):
شب زمستان بود کپی سرد یافت
کرمک شب تاب ناگه می بتافت.رودکی.سبک سیمبر پیش مادر بگفت
از آن سیب و آن کرمک اندر نهفت.فردوسی.تو که از کرمکی بیازاری
چه کنی بر دگر کسان ماری.سنائی.مرغ از درخت فرودآمد تا بوزینگان را حدیث کرمک شبتاب بهتر معلوم کند. ( کلیله و دمنه ).
بلبل خردم که خورد بس کندم کرمکی
کرم قزم در هنر زآن نکنم کرمکی.خاقانی.مگر دیده باشی که در باغ و راغ
بتابد بشب کرمکی چون چراغ.سعدی.ببین کاتشی کرمک خاکزاد
جواب از سر روشنایی چه داد.سعدی ( بوستان چ یوسفی ص 291 ).- کرمک چوبخوار؛ دیوچه. موریانه. ارضه. ( یادداشت مؤلف ). رجوع به دیوچه و موریانه شود.
- کرمک درافتادن در چیزی؛ اساسه. سوس. ( منتهی الارب ). رجوع به اساسه و سوس شود.
- کرمک دندان خواره؛ قَصمَلة. ( منتهی الارب ). رجوع به قصمله شود.
|| مگس طلایی. ( ناظم الاطباء ). || بیماریی در دبر و آن خارشی است که در آنجا پدید آید و بیشتر اطفال را عارض شود و علاج آن چکانیدن چند قطره نفت به موضع است. خارشک. ( یادداشت مؤلف ). یکی از کرمهای طفیلی از راسته نماتودها و از رده ٔکرمهای گرد که بدنی کوچک و باریک و سفیدرنگ دارد. نر و ماده این جانور از هم جدا هستند. طول نرها بین 5 تا 6 میلیمتر و ماده ها 9 تا 12 میلیمتر است ماده تخمهای خود را در چینهای مخرج می ریزد و بهمین سبب موجب خارش شدید می شود. خاراندن مخرج و آلوده شدن انگشتان سبب آلودگی ظروف و اشخاص به این انگل میگردد و در دختربچه ها ممکن است کرم وارد مهبل شود و ایجاد تحریک و ترشح کند و گاهی در پسربچه ها نیز وارد مجرای ادرار گردد. کرم سنجاقی. اوکسیور. ( از فرهنگ فارسی معین ). || اشنان که بدان رخت شویند. || لغز و چیستان. ( برهان ) ( آنندراج ). و این ظاهراً مصحف پردک و بردک است. ( حاشیه برهان چ معین ). رجوع به پردک، بردک و کردک شود.
کرمک. [ ک َ م َ ] ( اِ ) در مؤیدالفضلاء بمعنی طعامی باشد که از باقلا پزند. ( برهان ) ( آنندراج ) ( ناظم الاطباء ).

فرهنگ معین

(کِ مَ ) (اِمصغ. ) ۱ - نوعی سوپاپ لاستیک دوچرخه که در موقع باد زدن به طور خودکار باز و بسته می شود و از خروج باد لاستیک جلوگیری می کند. ۲ - نوعی کرم کوچک سفید رنگ که در چین های مخرج (خصوصاً انسان ) تخم ریزی می کند.

فرهنگ عمید

۱. کرم کوچک.
۲. نوعی کرم کوچک و سفید که انگل لولۀ گوارش است و با تخم ریزی در اطراف مخرج باعث خارش شدید می شود.

فرهنگ فارسی

( اسم ) یکی از کرمها ی طفیلی از راست. نماتود ها و از رد. کرمها ی گرد که بدنی کوچک و باریک و سفید رنگ دارد. نر و ماد. این جانور از هم جدا هستند. طول نر ها بین ۵ تا ۶ میلیمتر و ماده ها بطول ۹ تا ۱۲ میلیمترند. ماده تخمها ی خود را در چین های مخرج میریزد و بهمین سبب موجب خارش شدید میشود. خاراندن مخرج و آلوده شدن انگشتان سبب آلودگی ظروف و اشخاص باین انگل میگردد و در دختر بچه ها ممکنست کرم وار مهبل شود و ایجاد تحریک و ترشح کند و گاهی در پسر بچه ها نیز وارد مجرای ادرار میشود کرم سنجاقی او کسیور.
در موید الفضلا بمعنی طعامی باشد که از باقلا پزند.

دانشنامه عمومی

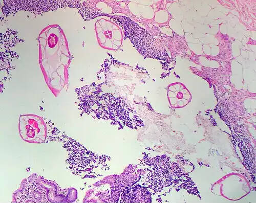
کرمک ( Pinworm )، کرم اکسیور، کرم سنجاقی ( در ایالات متحده ) یا کرم نشیمن گاهی، نام کرمی لوله ای است که انگل روده ای انسان به ویژه کودکان به حساب می آید. این کرم می تواند باعث عارضه انتروبیازیز یا عفونت کرم سنجاقی شود. کرمک از نظر طبقه بندی، در خانواده اکسیوریده قرار می گیرد.
کرم سنجاقی یک کرم لوله ای به حساب می آید. همچنین سه گونه دیگر از کرمک نیز با قطعیت شناخته شده است.
کرمک در هر سنی دیده می شود. به دلیل رفتارها، ارتباطات، و چرخه زندگی کرم بیشتر در سنین پیش دبستانی و دبستانی شایع تر است. کرمک شایع ترین عفونت انگلی در انسان است. در نواحی سردسیر بین سفیدپوستان و تا سن ۲ سالگی شایع می باشد. تعداد مبتلایان در جهان ۴۳ میلیون نفر است. این کرم فقط انگل انسان بوده ولی به ندرت ممکن است شامپانزه را نیز آلوده کند. موارد ابتلا در زنان بیش از مردان گزارش شده است.
کرمی استوانه ای شکل، شفاف به شکل نخ، اندازه کرم نر ۲ تا ۵ میلی متر و کرم ماده ۸ تا ۱۳ میلی متر است. انتهای رأسی کوتیکول پهن شده و یک جفت بال رأسی ایجاد می کند. در جلوی دهان ۳ لب کوچک قابل انقباض است که در موقع انقباض وارد حفره دهانی بسیار کوچک می شود.
کرم سنجاقی انتشار جهانی دارد، و از شایع ترین کرم های انگلی به حساب می آید که عفونت آن در ایالات متحده و اروپای غربی بسیار شایع است.
این کرم در سکوم و آپاندیس و قسمت های تحتانی روده باریک زندگی می کند. پس از جفتگیری، کرم نر از بین می رود. کرم ماده جهت تخم ریزی به سمت مخرج حرکت می کند و اغلب در شب از مخرج خارج شده و در ناحیه جلدی نشیمن گاهی تخم ریزی می کند. اطراف تخم ها ماده ای ژلاتینی وجود دارد که کارش تضمین رطوبت تخم ها است، ولی این ماده برای انسان حساسیت زا بوده و باعث خارش می شود که به دلیل تخم ریزی شبانگاهی کرم ماده معمولاً این خارش شب ها بیشتر است. در رحم کرم ماده حدود ۱۲ هزار تخم وجود دارد. کرم های ماده پس از تخم ریزی و کرم های نر پس از جفت گیری از بین می روند. تخم ها در موقع خروج حاوی لارو هستند و پس از حدود ۶ ساعت خاصیت آلوده کنندگی پیدا می کنند.
تخم ها از راه دهان به وسیله آب، مواد غذایی، گرد و خاک و دست های آلوده وارد بدن می شوند. در ابتدای روده باریک لاروها آزاد شده و مسیر خود را به طرف سکوم ادامه می دهند. پس از رسدن به سکوم به کرم بالغ تبدیل می شوند ولی به عنوان مخزن بیماری محسوب می شوند.

دانشنامه آزاد فارسی

کِرمک (threadworm)
(یا: کرم سنجاقی) کرمی از خانوادۀ نماتودها. ممکن است رودۀ انسان را آلوده کند. این کرم نسبتاً بی ضرر است و عمدتاً در کودکان دیده می شود.

کرمک
کرمک
کرمک
کرمک
کرمک

جمله سازی با کرمک

جملات نمونه از منابع مختلف جمع آوری شده است، اگر صحیح نیست یا توهین آمیز است، لطفا گزارش دهید.

💡 یکی گفتش ای کرمک شب فروز چه بودت که بیرون نیایی به روز

💡 کرمک شب تاب نیز گفت مثالی نیمه شبان از جمال مهر درخشان

💡 ببین کاتشین کرمکی خاک زاد جواب از سر روشنایی چه داد

💡 و روی عن ابو هریره: ان الناس یحشرون یوم القیمة ثم یوقفون ثم یقول اللَّه عز و جل لهم طالما کنتم تکلمون و انا ساکت فاسکتوا الیوم حتی اتکلّم انّی رفعت نسبا و ابیتم الا انسابکم، قلت ان اکرمکم عندی أتقیکم و ابیتم انتم فقلتم لا بل فلان بن فلان و فلان بن فلان فرفعتم انسابکم و وضعتم نسبی فالیوم ارفع نسبی و وضعت انسابکم سیعلم اهل الجمع الیوم من اصحاب الکرم این المتقون.

💡 فضلهٔ طبعم نسیج‌الوحد از این معنی شدست فضلهٔ کرمک نسیج‌الالف شد با برگ توت

💡 ای کرمک شب تاب سراپای تو نور است پرواز تو یک سلسلهٔ غیب و حضور است

روضه یعنی چه؟
روضه یعنی چه؟
حاشیه یعنی چه؟
حاشیه یعنی چه؟
فال امروز
فال امروز