تنده رگ تود مخچه ای

تنده رگ تود مخچه ای

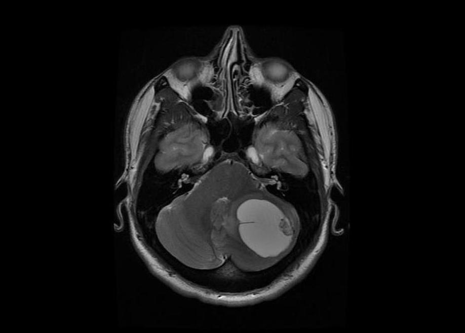
اصطلاح «تُنده‌ رگ تودِ مُخچه‌ ای» در فارسی، برابر با واژه‌ی علمی Cerebellar Hemangioblastoma در پزشکی است. این اصطلاح از سه بخش تشکیل شده است: «تنده‌ رگ» به معنای بافت یا توده‌ای است که دارای رگ‌های خونی فراوان و پرجریان است، «توده» به معنی رشد غیرطبیعی یا تومور در بافت بدن، و «مخچه‌ ای» به محل قرارگیری آن در مغز یعنی «مخچه» اشاره دارد. بنابراین، تنده رگ تود مخچه ای به توموری گفته می‌شود که در بخش مخچه‌ مغز ایجاد می‌شود و دارای بافتی پر از رگ‌های خونی است. این نوع تومور معمولاً خوش‌خیم (غیرسرطانی) است و رشد آن آهسته صورت می‌گیرد، اما به دلیل فشار بر بافت‌های اطراف مغز، می‌تواند علائمی مانند سردرد، سرگیجه، اختلال در تعادل و تهوع ایجاد کند. از نظر پاتولوژیک، این توده از سلول‌های اندوتلیال (پوشاننده‌ی رگ‌ها) و سلول‌های استرومایی تشکیل شده است. در برخی موارد، این بیماری با سندرمی ژنتیکی به نام فون هیپل–لینداو (Von Hippel–Lindau) همراه است. تشخیص آن معمولاً با روش‌های تصویربرداری مانند MRI انجام می‌شود. درمان اصلی، جراحی برای برداشتن کامل توده است.

فرهنگستان زبان و ادب

{cerebellar hemangioblastoma} [علوم پایۀ پزشکی] تنده رگ تودی اغلب کیسه ای که در مخچه ایجاد می شود

روز جاری یعنی چه؟
روز جاری یعنی چه؟
افق یعنی چه؟
افق یعنی چه؟
فال امروز
فال امروز