آنوریسم

آنوریسم

فرهنگ معین

( آنوریسم ) (نِ ) [ یو. ] (اِ. ) غدة متشکل از خون که غالباً به شریان مربوط است و محتویات آن ممکن است خون مایع یا خون منعقد باشد، آنوریسما و انوریسم نیز گویند.

فرهنگ عمید

( آنوریسم ) حفرۀ کوچکی که از گشاد شدن موضعی در یکی از شریان های بدن، به دلیل ضعف یا نقص جدار آن حاصل می شود.

فرهنگ فارسی

( آنوریسم ) ( اسم ) غد. مشکل از خون که غالبا به شریان مربوطست و محتویات آن ممکنست خون مایع یا خون منعقد باشد آنوریسما انوریسما آنورسما انوریسم.

دانشنامه عمومی

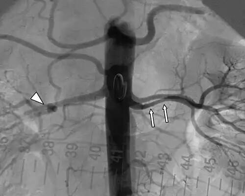
آنوریسم. آنوریسم یا رگ برآمدگی ( به انگلیسی: Aneurysm ) برگرفته از ἀνεύρυσμα یونانی به معنای فتق شریان است. اگرچه ممکن است آنوریسم در هر رگی رخ دهد، اما نمونه های کشنده آن آنوریسم حلقه های ویلیس کف مغز، آنوریسم آئورت و آنوریسم آئورت شکمی هستند. آنوریسم ها می توانند به دنبال سکته قلبی در خود قلب ایجاد شوند، مانند آنوریسم های بین بطن و دهلیز.
آنوریسم در قفسه سینه باعث درد قفسه سینه، گردن، کمر، و شکم می شود. درد ممکن است ناگهانی و تیز باشد. آنوریسم در شکم باعث درد در کمر ( گاهی شدید )، بی اشتهایی و کاهش وزن، و وجود یک توده ضربان دار در شکم می شود. آنوریسم در یک سرخرگ در پا باعث نرسیدن خون به قدر کافی به نقاط مختلف پا می شود. در نتیجه پا دچار ضعف و رنگ پریدگی می شود، یا اینکه متورم شده، رنگ آن به آبی تغییر می کند. امکان دارد یک توده ضربان دار در ناحیه کشاله ران یا پشت زانو وجود داشته باشد. وجود آنوریسم در یک سرخرگ مغزی باعث سردرد ( اغلب ضربان دار )، ضعف، فلج یا کرختی، درد پشت چشم، تغییر بینایی یا نابینایی نسبی، و مساوی نبودن اندازه مردمک ها می شود. وجود آنوریسم در عضله قلب باعث نامنظم شدن ضربان قلب و علایم نارسایی احتقانی قلب می شود.
• شایع ترین علت بروز آنوریسم، افزایش فشارخون است که دیواره سرخرگ را تضعیف می کند.
• آترواسکلروز
• ضعف مادرزادی سرخرگ ( به خصوص در مورد آنوریسم های شریان هایی که به مغز می روند.
• عفونت آئورت در اثر بیماری سیفلیس ( نادر است ).
• صدمه فیزیکی.
• عفونت آئورت در اثر بیماری اندوکاردیت و عفونت آئورت بعد از جراحی آئورت.
• سن بیشتر از ۶۰ سال
• سابقه حمله قلبی
• فشارخون بالا
• سیگارکشیدن
• چاقی
• سابقه خانوادگی تصلب شرایین
• پلی آرتریت گره ای ( یک نوع بیماری که طی آن التهاب سرخرگ های کوچک روی می دهد )
ترک سیگار
• ورزش منظم
• تغذیه کافی و رژیم کم چربی
• در صورت وجود سیفلیس، درمان زودهنگام
• رعایت برنامه درمانی کنترل فشارخون
• کاهش استرس
• حوادث مغزی - عروقی: در صورت پارگی آنوریسم، سبب خونریزی وسیع مغزی شده که اصطلاحاً سکته هموراژیک گفته می شود. آنوریسم مغزی حتی قبل از آنکه پاره شود ممکن است با فشار به نواحی مجاور سبب ایسکمی مغزی و نکروز بافت شود.
• پاره شدن آنوریسم.
• آنوریسم می تواند سبب نارسایی آئورت و نارسایی قلبی شده یا بر ارگان های مجاور فشار بیاورد.
• علایم بسته به مکان آنوریسم عبارت اند از: سردرد بسیار شدید، درد شدید و تند و تیز در قفسه سینه، شکم یا پا، از دست دادن هوشیاری. اگر پارگی درمان نشود می تواند به مرگ بینجامد.

دانشنامه آزاد فارسی

آنوریسم. آنوریسم (aneurysm)
ضعف دیوارۀ سرخرگ که باعث «بیرون زدگی۱» آن می شود. در این حالت خطر پاره شدن و درپی آن خون ریزی شدید وجود دارد. این خون ریزی شدید اغلب منجر به مرگ می شود. در صورت تشخیص به موقع، برخی آنوریسم های قابل دسترسی را می توان با عمل جراحی درمان کرد اما چنین عمل وسیعی برای بیمارانی که وضع سلامتی مناسبی ندارند پُرخطر است. پارگی شریان آئورت سالانه باعث بیش از ۱۰هزار مورد مرگ در انگلستان می شود. در ۱۹۹۵ جراحان بریتانیایی روشی ابداع کردند که در آن، با واردکردن یک سوند۲ از ناحیه کشاله ران به سیستم سرخرگی و آئورت، یک وصله۳ پلی استری در محل آنوریسم قرار می دهند. این وصله با استفاده از یک «آلیاژ حافظه دار۴» که در دمای بدن شکل اصلی را به خود می گیرد، تقویت می شود. وقتی وصله در محل مناسب قرار گرفت، سوند خارج شده وصله منبسط می شود و با فشار آوردن بر دیوارۀ آئورت در محل خود قرار می گیرد. ممکن است در آینده این عمل با بیهوشی موضعی انجام شود.

ویکی واژه

(پزشکی): برجستگی کیسه مانندی که بر اثر گشاد شدن قسمتی از یک رگ یا یکی از حفره‌های قلب بوجود می‌آید.
غده متشکل از خون که غالباً به شریان مربوط است و محتویات آن ممکن است خون مایع یا خون منعقد باشد؛ آنوریسما و انوریسم نیز گویند.

جمله سازی با آنوریسم

جملات نمونه از منابع مختلف جمع آوری شده است، اگر صحیح نیست یا توهین آمیز است، لطفا گزارش دهید.

💡 در بیماری آنوریسم‌های آئورت شکمی قسمت‌هایی از دیواره‌های رگ که مانند یک کیسه گشاد شده و خطر پارگی در آنوریسم‌ها تهدیدکننده جان بیمار است، با روش داخل عروقی و از طریق شریان‌های رانی، رگ پارچه‌ای از طریق داخل رگ، وارد حفره آنوریسم شده و گشادی آن را مرتفع می‌کند. مدت معمول انجام این عمل حدود ۳ ساعت است.

💡 در صورتی که اندازه آنوریسم بیش از ۳ میلی‌متر باشد این آنوریسم باید درمان شود و بسته شود.

💡 آلن کاردک در ۳۱ مارس ۱۸۶۹ (در سن ۶۴ سالگی) بر اثر بیماری آنوریسم (اتساع عروق) از دنیا رفت و در گورستان پر-لاشز به خاک سپرده شد. در مراسم دفن آلن کاردک متنی توسط کامیل فلاماریون نویسنده و اسپریتیست شهیر فرانسوی ارائه شد.

💡 هاروی کوشینگ (۱۸۶۹–۱۹۳۹) به عنوان اولین جراح مغز ماهر در جهان شناخته می‌شود. در سال ۱۹۳۷، والتر دندی[بو] عمل جراحی مغز و اعصاب عروقی را با انجام اولین جراحی آنوریسم مغزی آغاز کرد.

💡 استنت انحراف جریان خون در مغز استفاده می‌شود تا همچون سپردر برابر جریان خون، ورود شریان را به درون آنوریسم در دیوار رگ کاهش دهد و به لختگی خون و بهبود آنوریسم منجر شود.

افق یعنی چه؟
افق یعنی چه؟
مخنث یعنی چه؟
مخنث یعنی چه؟
فال امروز
فال امروز